 
    
    
   福尔摩斯总是能在细微处
发现凶手的蛛丝马迹
因此被称为神探
而对于肿瘤的早期诊断
特别对神经系统病变的发现
就需要“神探”出马!
我们医院影像科有自己的“神探”
堪称“医生的透视眼”
	  它就是——3.0T磁共振
	
	
西南脑科3.0T磁共振设备
3.0T的“T”代表什么?
现在很多医院都有磁共振检查(MR),其中以1.5T和3.0T最常见。借助这项检查,医生可以很好地识别肿瘤、脑梗塞、变性病、炎症、坏死病灶、异常物质沉积、功能性梗阻、血液循环阻塞等。
“T”是英文TESLA(特斯拉)的首写字母,是磁场强度的单位,数字越大则磁场强度越大。
有患者想问“既然强度提升了,那是不是辐射也更大了,对人体的危害也更高了?”
错!磁共振并不包含任何的辐射,磁场强度的提升也不会对我们的身体造成任何负面影响。
打消了这个疑虑,下面我们来看看3.0T磁共振成像有哪些优势~
3.0T磁共振成像有哪些优势?
1
高信噪比,高分辨率
	  3.0T磁共振机在成像质量方面比1.5T磁共振清晰数倍,分辨率极高,可充分显示中枢神经系统、骨骼、肌肉、关节等各部位的解剖细节,能发现更微小、更早期的病变。它的脑纤维束追踪成像功能能够清晰显示脑内神经束,定位更精细,分辨力更强,更能帮助医生判断患者的预后。
	
2
扫描速度快
	  3.0T磁共振的成像速度高于1.5T磁共振,由于3.0T磁共振拥有更高的信噪比,同时拥有更快的影像链,平均扫描速度可以比1.5T磁共振快20%!
	
脑肿瘤磁共振影像
3
频谱成像效果更好
	  一些不能在1.5T进行的物质成像可以在3.0T完成,可无需造影剂使全身血管成像更清晰。对需要增强的血管,造影所需造影剂用量减半。
	
血管造影
4
多期动态扫描
	  成像效果明显优于1.5T,业内许多专家把3.0T体部多期成像作为金标准。
	

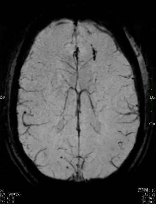
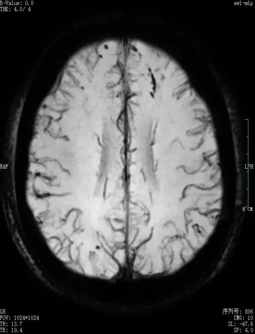
1.5T(左)3.0T(右)头颅磁敏感对比
此外,3.0T磁共振还具有检查效率高、舒适度高的特点。采用大孔径设计,减少了患者的幽闭恐惧感,使患者可以在安静的环境中舒适地完成整个检查,对那些不耐受长时间扫描的儿童和老年病人尤其适用。
磁共振检查注意事项
1
哪些东西不能带入磁共振检查室?
由于磁共振的强磁场,所以一切金属的、电子的、铁磁性的东西都不能带进磁共振检查室。比如轮椅、担架、手机、手表、皮带、钥匙、硬币、磁卡、耳环、项链、发夹、助听器、听诊器等。总之,只要能取下来的金属的、电子的、铁磁性的东西都不能带进检查室。衣服上有金属纽扣和金属拉链的,要更换全棉材质的衣服,再进行检查。因为在检查过程中这些金属物质会产热,当热量到达一定程度时可能会灼伤临近的组织。
2
体内有种植牙、心脏支架,钢板钢钉,这些不能取下来的,不能做磁共振检查吗?
不是的,钛合金材质的,是可以做磁共振检查的。其他一些不明材质的,需要问一下给您做治疗的医生,由他们决定能不能做磁共振检查。做检查时,也要给您做磁共振检查的医生说清楚。检查过程中有任何不适请及时告知医生。
3
磁共振检查不能动!不能动!不能动!
做磁共振检查的时候您千万不能乱动,因为你一动,我们就要重新扫描。这样扫描的时间就会增长。
 本院医生亲诊
        本院医生亲诊
     
电话咨询
028-68760707