现代生活中,人们对手机的依赖越来越深。
无论是走路时

睡觉时

还是约会时

据说,有一种焦虑叫做“忘带手机”。
出门可以不带钱和钥匙,但是绝不能不带手机。

你可能不知道,手机绑架你生活的同时,
还威胁着你的健康。
一
手机电波致癌
2011年5月,世界卫生组织下属国际癌症研究机构(IARC)将手机电波定义为第三类---“可能致癌物”,因为手机的使用和一种叫做胶质瘤的恶性脑瘤和一种叫做听神经瘤的良性脑瘤之间有联系,这让很多人忧心忡忡。
毕竟,想象中和现实中,
人与手机的关系是不一样的。

▼
对此,脑科指出:目前并没有直接证据证明手机电波会导致癌症,但长期大量使用很可能造成不良后果。所以还是建议大家少玩手机,特别是在睡觉的时候,尽量地把手机放在离头部和身体远一点的地方。
今天就给大家重点讲讲恶性脑瘤——号称“大脑杀手”的脑胶质瘤。
二
脑胶质瘤的危害
脑胶质瘤占所有中枢神经系统肿瘤的27%,占恶性肿瘤的80%,是神经外科治疗中最棘手的难治性肿瘤之一。我国脑胶质瘤年发病率为5~8/10万,5年病死率在全身肿瘤中仅次于胰腺癌和肺癌。

由于脑胶质瘤具有侵袭性生长特性,生长部位解剖关系及功能的特殊性,大部分胶质瘤难以大范围的彻底切除,残留的肿瘤细胞成为日后复发的根源,因此具有高致残率、高复发率的特征,严重影响患者的生存周期及生活质量,给患者个人、家庭乃至社会造成沉重的经济和心理负担。

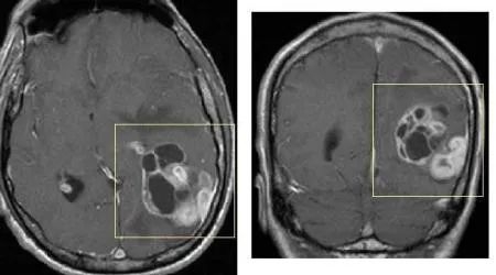
神经胶质瘤(画框所示)的MRI影像学图片
01
精神障碍
肿瘤压迫临近的脑组织,造成局部神经功能障碍,会造成言语不流利,甚至失语,也可能出现导致情绪淡漠和记忆力下降的现象。
02
肢体瘫痪
肿瘤位于大脑运动区附近、基底节区、脑干腹侧者发生率高。开始为轻瘫、偏瘫,逐渐发展为重瘫直至全瘫。
03
引发癫痫
发生率约占脑瘤的30%。其原因多由于肿瘤的直接刺激或压迫引起。运动区及其附近的肿瘤,癫痫发生率较高。
04
晚期大多危及生命
需要特别警惕的是,儿童脑肿瘤的发病率位于小儿实体肿瘤发病率的前列,其中脑胶质瘤占儿童脑肿瘤的70%~80%,是儿童最常见的恶性脑肿瘤,仅次于儿童白血病。
由于青少年的耳朵和颅骨比成年人更小、更薄,他们在使用手机时,脑部吸收的辐射比成年人要高出50%。儿童如长期高强度使用手机,更可能增加患脑瘤几率。
三
为啥说手机会导致胶质瘤?
关于胶质瘤的病因,一直都是世界医学中难以完全攻克的难题。目前公认为可能相关的因素包括:遗传、辐射等。
一些已知的遗传疾病,例如神经纤维瘤(I型)以及结核性硬化疾病等,为脑胶质瘤的遗传易感因素。有这些疾病的患者,其脑胶质瘤的发生机会要比普通人群高很多。
而大家最关心的手机辐射问题,这里也得再好好说道一下。
前面说的“可能致癌物”只是可能,还未证实,目前并没有非常有力的证据能直接证明手机辐射与胶质瘤的发生有关。
但(又是一个很重要的“但”),长期接触手机或电子产品的射线确实会造成一些改变。人脑本身有属于自己的脑电流,当手机在贴近耳朵使用时,所产生的外加电磁场会对人的脑电流产生干扰和影响,长期以往会损伤神经细胞,引发头疼、睡眠障碍等症状,从而增加患胶质瘤以及其他肿瘤的风险。
而且现在人们使用电子产品常常毫无节制,熬夜、频繁地玩是常有的事,这些不好的生活习惯也会导致免疫力下降,给疾病可趁之机。长时间接受手机辐射,对听力的损害明显,还会引起头痛、失眠、记忆力减退。
四
脑胶质瘤有哪些症状
胶质瘤的症状表现依其病理类型和所在部位大有不同,最常见的症状如出现头痛(早晨起床时明显)、呕吐、记忆力减退、视力下降、肢体活动障碍、身体感觉障碍等要到医院进行检查。合并有不明原因出现人格改变、语言障碍、癫痫发作、行走不稳等表现时,更要引起高度重视。

五
脑胶质瘤的确诊和治疗

头颅CT是筛查颅内病变的“第一道屏障”。通常,在CT发现异常情况后,医生会建议患者接受头颅磁共振(MRI)检查。
目前认为,MRI是确诊脑胶质瘤的主要检查手段。若MRI仍然难以确诊,PET/CT是一个很好的补充检查措施。
根据胶质瘤的类型和恶性程度的不同,对于各种治疗方法的敏感性和效果有较大差异。因此,在治疗方法的选择上具有不同的原则和特点。任何级别胶质瘤均应首选手术治疗。手术现在仍是规范治疗胶质瘤的主要手段,其不仅可以明确诊断及判定级别,为下一步规范化治疗提供依据,而且可以缓解颅内的压力、缓解症状,同时,手术减少肿瘤体积,为后期取得良好的治疗效果打下基础。此外,放疗和化疗是胶质瘤后期规范化治疗的重要手段,尤其对高级别胶质瘤更是必须进行的治疗措施。
温馨提示
为了解肿瘤是否复发,一般低级别脑胶质瘤每半年需要复查头颅增强磁共振,高级别脑胶质瘤需3个月复查头颅增强磁共振。
医生建议
1
平时尽量减少每次使用手机的时间,
以及每天使用手机的次数,长时间接
电话左右耳轮换,最好使用耳机线;
2
戴眼镜的人,如果是金属镜框,在通
话时最好把眼镜摘下;
3
不用手机时,尽量将手机放在远离
头部和心脏的地方,可放置在四五
十厘米远的距离外;
4
睡觉的时候电子产品应尽量放在卧
室外面,要知道手机的辐射不是仅
仅在通话时才有。
5
尽量不在封闭空间和信号差的地方打
手机。在电梯、火车、地铁等相对封
闭空间打电话时,手机会不断尝试连
接中断的信号,会使辐射增加到最大值。
6
避免儿童过早、过多使用手机。
本院医生亲诊
电话咨询
028-68760707