随着生活水平的提高,高血压已经成为中老年人常见的慢性病之一。而脑出血作为高血压的严重并发症,其危害不容忽视。
今年65岁的李先生就因为高血压控制一般,在十多天前诱发了脑出血,到底是怎么回事,一起来看看。
1高血压3+年
10+天前突发脑出血
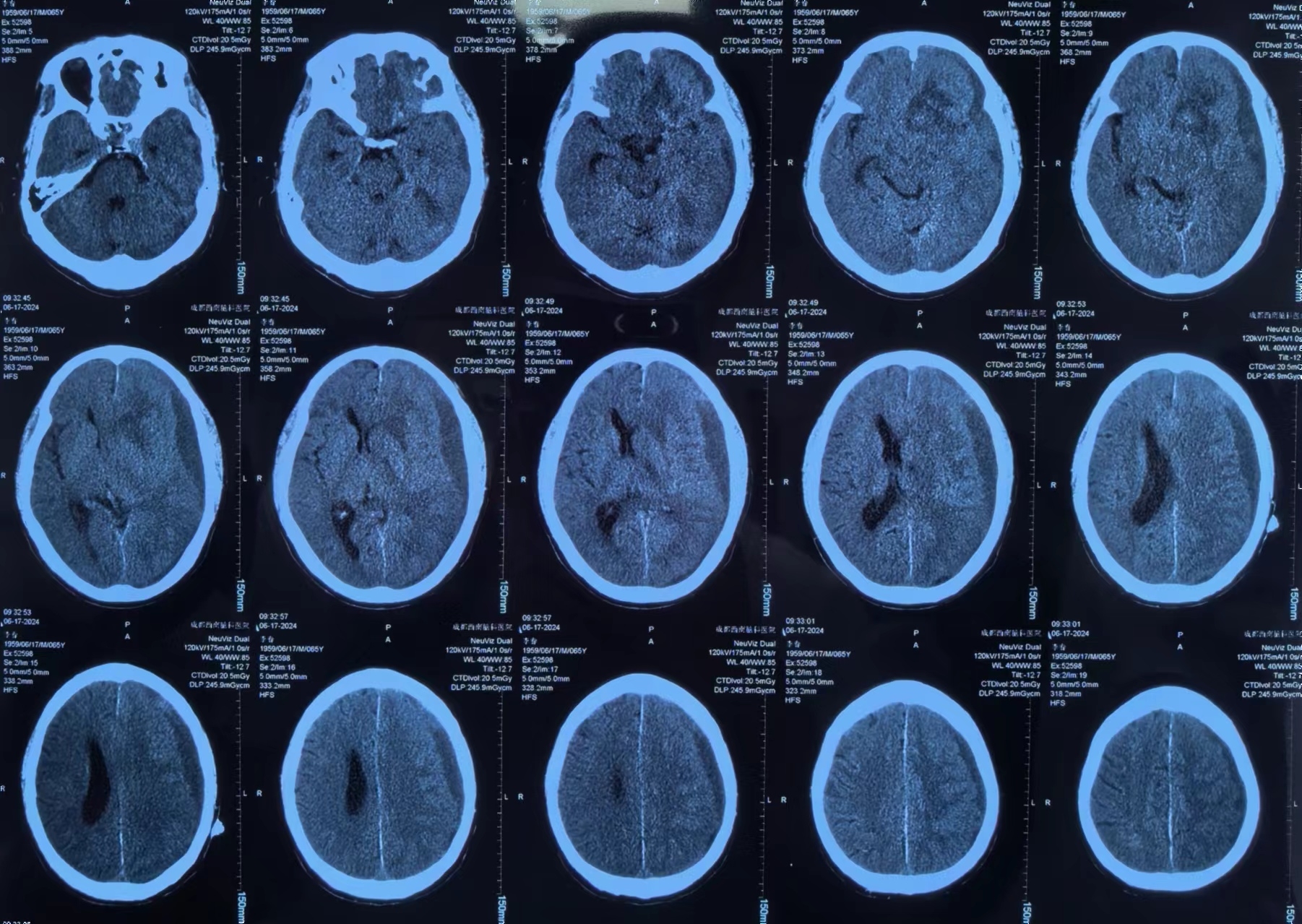
李先生有高血压病史3+年,最高血压166/88mmHg,血压控制一般。10+天前突然出现意识丧失,立即就诊当地医院。李先生送医途中就恢复了意识,但全头部爆炸样胀痛,诊断为脑出血、硬膜下血肿、蛛网膜下腔出血,大脑前动脉中度狭窄,颈内及大脑中动脉均发现动脉瘤。
因当地医院对症治疗一周效果不佳,为求进一步治疗,家人带着李先生辗转来到我院。经左剑主任与李积荣主任联合会诊,认为李先生目前的头痛主要与脑内血肿引起的脑水肿及硬膜下血肿引起的颅高压有关。因患者有多发颅内动脉瘤,最终决定局麻下采用“颅内血肿微创清除技术”清除硬膜下血肿。
2清除血肿很关键
一般来说,脑出血时,血管破裂的一瞬间血液就破坏了周边脑神经,血肿不仅压迫局部脑组织,还会加重周围脑组织和血管的损害。血肿引起的颅内压升高,并发脑疝,是导致患者死亡的直接原因。因此,清除颅内血肿是治疗脑出血患者的关键所在。

常规的脑出血手术需要开颅,创伤大、出血多、并发症多,适合手术清除血肿的条件比较严格。随着立体定向技术、术中导航技术的应用,目前大部分脑出血手术不再需要开颅,微创的观念越来越受到重视。
3微创手术方法保留功能
降低残疾程度
颅内血肿微创清除技术是目前治疗高血压性脑出血最简单、最安全、最有效的方法。利用颅脑CT片或CT下进行三维立体定位,采用一次性使用颅内血肿微创穿刺针进行穿刺抽吸,外径只有3毫米,针钻一体,设计合理,操作简便,易固定,密闭性好,创伤小,不易感染,抽吸无盲区,相比开颅手术费用低廉,可以快速清除颅内血肿,缓解颅内压力,大大地降低了患者的死残率,提高了患者的生存质量。

李先生手术前

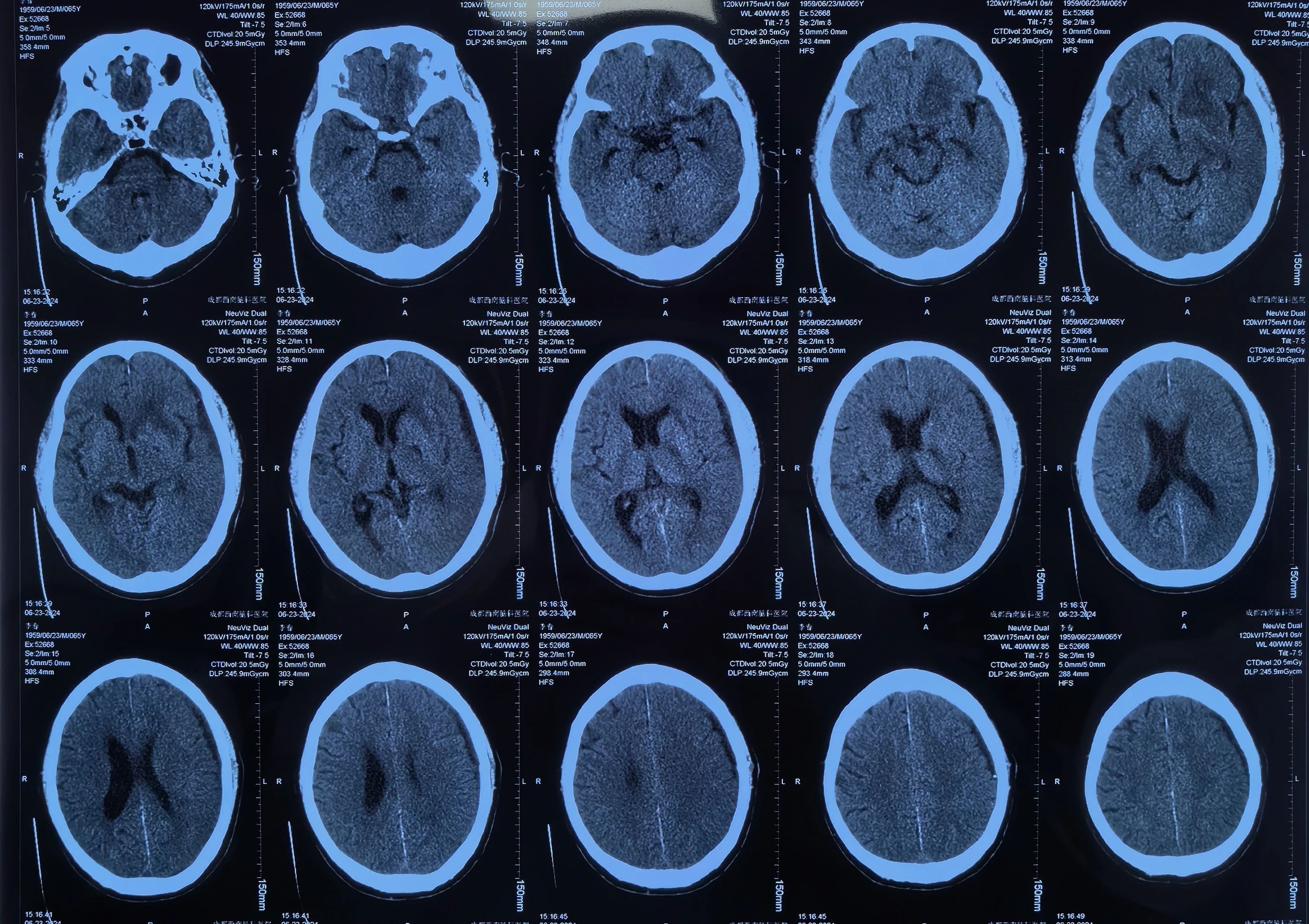
李先生手术后

李先生术后引流中
术后李先生自觉头痛明显减轻,术后第三天复查头颅CT提示:硬膜下血肿基本清除,脑移位恢复正常。
在康复出院之际,李先生及其家属特地定制了一面锦旗送给左剑主任、李积荣主任、韩伟科医生,以及全体医护人员,以表达他们最深切的感激之情。

这是对我们医护工作的最大肯定,也是我们前行的最大动力。我们将一如既往地秉持着医者仁心的理念,尽职尽责地为每一位患者提供优质的医疗服务。
专家介绍

左剑 主任医师
成都西南脑科医院门诊主任
中华医学会资深会员
中国民政医学专家库专家
先后在神经内科从事教学、科研、临床工作43年,在核心期刊发表学术论文50余篇,享受厅级拔尖人才津贴,连年被评为医德医风先进个人、优秀共产党员。
擅长:脑出血后遗症、脑梗后遗症、脑外伤后遗症、神经损伤、脊髓损伤(截瘫)、脊炎、肌营养不良、格林巴利综合征、脑瘫、脑发育不良、植物人促醒、帕金森、特发性震颤等神经系统疑难疾病的病情诊断及康复治疗。

李积荣 主任医师
成都西南脑科医院病区主任
武警部队神经介入委员会委员
省医师协会神经介入专业委员会委员
长期从事神经内科各种疾病的专科治疗,从2003年开始在省内神经内科第一家开展脑出血微创穿刺治疗,完成各种原因的引起的脑出血4000多例(急、慢性硬膜下、硬膜外血肿,高血压脑出血及婴幼儿颅内血肿等),发表科研论文19篇,其中获武警部队科技成果奖2项。
擅长:急/慢性硬膜下、硬膜外血肿,高血压脑出血及颅内血肿等神经内科疾病诊治。
本院医生亲诊
电话咨询
028-68760707